Smile Gallery
Below are some examples of some of our best work!
Crowns and bridges are restorations that correct dental problems while protecting and strengthening your teeth.
A dental crown is custom made to fit over a damaged natural tooth. It restores the function of the tooth and provides strength and support. Dental bridges fill in the space left by a missing tooth to complete your smile.
Crowns and bridges are restorations that correct dental problems while protecting and strengthening your teeth.
A dental crown is custom made to fit over a damaged natural tooth. It restores the function of the tooth and provides strength and support. Dental bridges fill in the space left by a missing tooth to complete your smile.
Crowns and bridges are restorations that correct dental problems while protecting and strengthening your teeth.
A dental crown is custom made to fit over a damaged natural tooth. It restores the function of the tooth and provides strength and support. Dental bridges fill in the space left by a missing tooth to complete your smile.
Did you know that tooth enamel is stronger than bone? Each day your teeth withstand literally tons of pressure. Sometimes, however, a tooth will become cracked. There are a variety of factors that can cause this. Though your permanent teeth are meant to last your entire lifetime, this is not always the case. Chewing on hard objects, genetics, personal habits, foods you eat and medications are some of the causes of cracked teeth. Should one of your teeth crack, it is not necessarily lost.
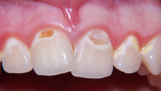
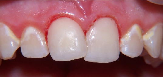
For some, the appearance of standard silver amalgam fillings is unattractive. They are noticeable when you smile and can cause your teeth to appear discolored.
If you need a filling but don’t want it to be visible, tooth-colored composite fillings are appealing alternatives. Composites can also be used for minor reshaping of chipped teeth or to fill small gaps between teeth to give you a more even, appealing smile.
For some, the appearance of standard silver amalgam fillings is unattractive. They are noticeable when you smile and can cause your teeth to appear discolored.
If you need a filling but don’t want it to be visible, tooth-colored composite fillings are appealing alternatives. Composites can also be used for minor reshaping of chipped teeth or to fill small gaps between teeth to give you a more even, appealing smile.