Crowns & Bridges

A dental crown is custom-made to fit over a damaged natural tooth. It restores the function of the tooth and provides strength and support. Dental bridges are also versatile and have a number of uses.
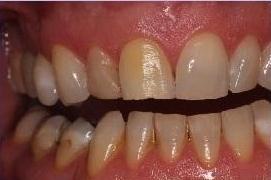
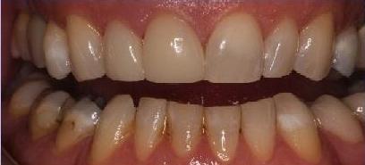
Crowns and bridges are usually made of porcelain because of its natural appearance and durability.
Everyone wants a smile that is healthy and beautiful, and we can help you reach that goal by using crowns and bridges. Updated techniques and treatments have made the placing of crowns and bridges easier than ever before.
When Are Dental Crowns and Bridges Used?
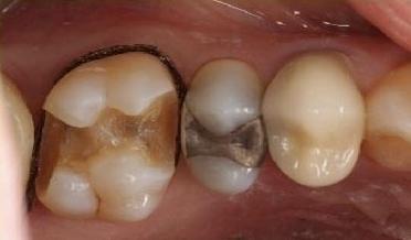
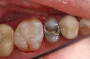
Dental crowns have many applications and can be used to correct a number of problems:
- Severely decayed teeth
- Teeth weakened by root canal treatment
- Fractured or broken teeth
- Broken fillings
- Large, unattractive fillings
A dental bridge is used to fill the space left by a missing tooth. The bridge is usually made as a single unit that is held in place by crowns on adjacent teeth. A dental bridge not only improves your appearance but also prevents surrounding teeth from shifting out of place and moving into the space left by a missing tooth.
What Does Placing a Crown or Bridge Involve?
A dental crown or bridge can usually be placed in two or three visits. First, we prepare your natural tooth to receive the restoration and then impressions are taken of your teeth. The impression accurately represents the position of your natural teeth so that your restoration fits perfectly.
The impressions are sent to a special dental lab, where they are used to create your permanent restoration, which usually takes about two weeks. Before you leave our office, we fit you with a temporary bridge or crown that you wear while the new crown or bridge is being prepared.
Once the restoration is finished, we will schedule an appointment for you to return to our office. At that time we check the finished restoration for proper fit, making adjustments as necessary. Finally, the restoration is cemented permanently into place.
Before you leave our office, we will give you instructions on caring for your new restoration. The restoration is fully functional, but you should remember that it requires special care to prevent damage and the need for replacement. If you practice proper oral hygiene and schedule regular dental cleanings, your new restoration will last for many years.
Call to Schedule an Evaluation
Are you troubled by a damaged or missing tooth? Please call our office today to schedule an evaluation and learn more about your options!